2020/10/13
おはようございます😃
院長の関谷です✨
珍しく、接骨院の院長としてのブログを書きたいと思います✨
10月5日、
小学5年生の男が、足を捻挫して来院しました💧
痛がりな男の子で来院時、足を引きずってなんとこさ歩けると言った状態。
触診のときも大変痛がっており、痛がり方だけなら間違いなく骨折😅
何箇所か触るけど、痛みに対しての反応はどれも同じ💦💦
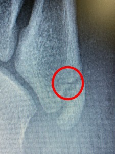
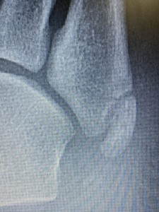
けど、第五中足骨の骨頭を触れると明らかに他の部位とは違う反応が❗️
とりあえず、ギプスを巻きレントゲンを撮りに行ってもらいました❗️
結果、折れてました😅

ごめんよ💦🙇
あまりの痛がり方に『大袈裟やって😁』とか疑って💧
この骨折、いわゆる下駄骨折って言って下駄履いて転んだらよくなるやつなんです❗️
最近は、下駄履く人少ないけどサンダル履いてこけるとこれになることよくあるんです😅
で、負傷原因はサンダルを履いて、鬼ごっこ中に転倒。
転倒の理由を聞くと、ヒビ割れたアスファルトで波をうった感じの凸凹したところで滑ったとのこと。
まさしく、下駄骨折になるべくしてなったという教科書通りの負傷原因✨✨
お見事‼️
さて、この男の子ですが、
小学5年生にして、体重84.4kg💦💦
もう、お気づきの方もおられると思いますが、
うちの息子です💦
これからちょいちょい、経過を報告していきたいと思います😊