2019/04/01
こんにちは😃
院長の関谷です‼️
ブログ連投です😅
新元号発表されましたね✨
“令和”
皆さんの予想は的中したのでしょうか❓
カズレーザーさんの本名が和令(かずのり)だとか…😅
さて、今日から4月‼️
新しい門出でのスタートとなった方も多ことでしょう。
うちでは、スタッフの入れ替えなどはありませんでしたが、学生の患者さんが巣立っていきました😅
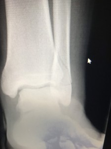
その一人、T君。
先々月の末に骨折😅
卒業式を3日後に控えた時でした💦

見事な腓骨骨折💦💦
就職ももちろん決まっていて、
奈良から九州に引っ越して、
新天地での社会人スタート✨
にもかかわらず骨折って😅
しかし、そこは十代‼️

こーんなに腫れて、内出血もしてたけど、
回復力がハンパなく、
3月下旬ギプスを外し、
無事、九州に旅立っていきました✨
本人の許可もあって掲載させていただきました😅
たまには接骨院らしいブログを書かないとね💦
今日から、心機一転‼️
皆さんも新しいスタート、頑張って下さい😁