2020/10/19
おはようございます😃
院長の関谷です😊✨
息子の骨折の経過です❗️
↓怪我して6日目

内出血は残るものの、5日目までは足の甲まで腫れていましたが、腫れが引き足趾がシャープになった感じがします❗️
↓怪我して8日目(10/12)

経過1週間となります。
内出血はかなり引き、うっすらという感じ。
ギプスを巻いてると痛みはあるものの、歩き回っております😅
↓怪我して9日目(10/13)

動きすぎて痛いと言ってます💦
おバカさん😓
↓怪我して12日目(10/16)

腫れが残りますが内出血はほぼ引き、
痛みも骨折したところだけの痛みとなりました。
その痛みもかなり良くなったようです❗️
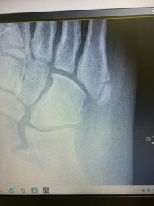
↓怪我して13日目のレントゲン写真(10/17)

画像荒くてよくわからないと思いますが、
骨折したところがよくわかり、白いモヤが写ってるんですが、仮骨(かこつ)という新しい骨ができているということです。
経過としては良好です✨
ですが、運動不足であり食欲旺盛なので、怪我よりも病気が心配です😅💦
なんせ、84kgやから💦💦